Врачи Филатовской больницы удалили зуб из носа 15-летнего подростка

Врачи Филатовской больницы спасли 15-летнего подростка, который поступил в медучреждение с асимметрией лица и постоянной заложенностью носа. Об этом сообщает Telegram-канал «Московская медицина».

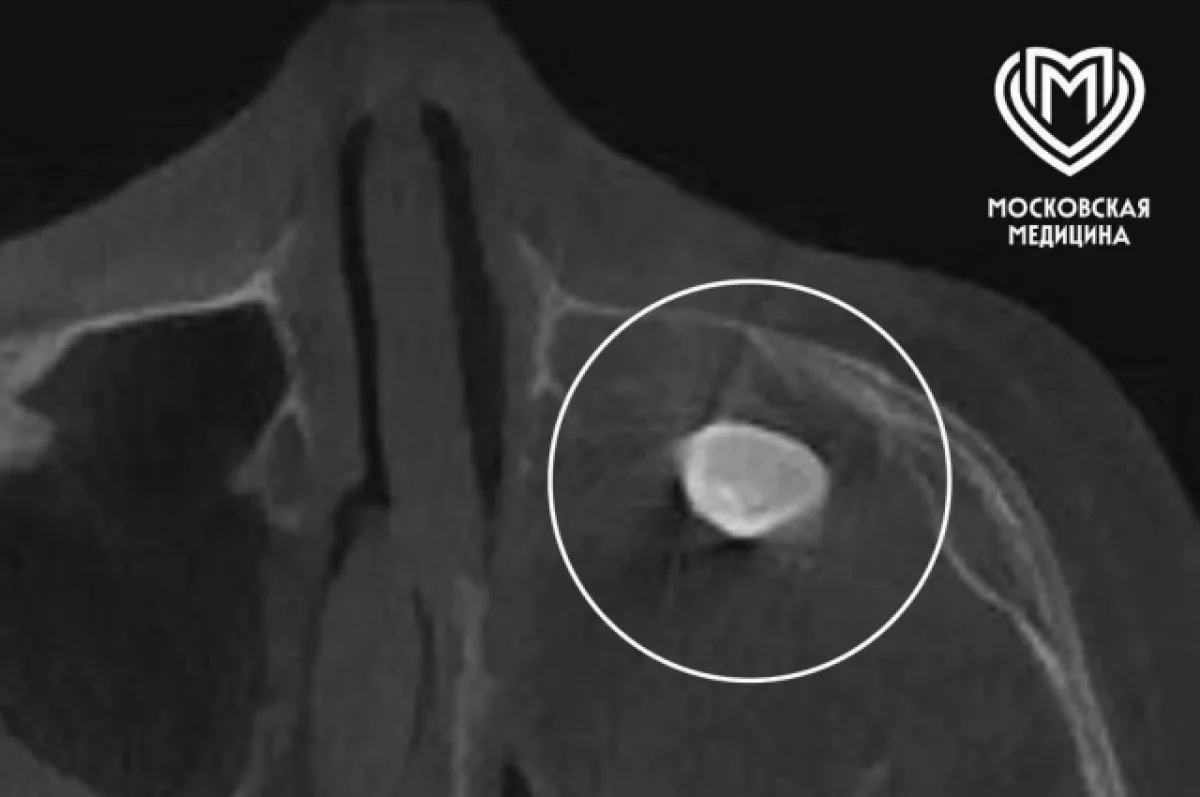
Ранее в частной клинике при обследовании в гайморовой пазухе у него выявили сформированный зуб. Родители, обеспокоенные предложенным методом удаления через полость носа, обратились за консультацией в Филатовскую детскую больницу.

Врачи провели углублённое обследование, собрали консилиум и решили оперировать через верхнюю десну по методу Колдуэлла—Люка. Во время вмешательства медики обнаружили новообразование, внутри которого находился зуб.

После исследования выяснилось, что это тератома — редкий тип эмбрионально‑клеточного новообразования, который может содержать элементы тканей, несвойственных для данной области тела. В данном случае тератома была доброкачественной и занимала практически всю левую полость носа — из‑за этого её не выявили на КТ и рентгене.

Сообщается, что после восстановления функций подростка выписали с хорошим самочувствием, и постепенно асимметрия его лица и заложенность носа полностью исчезли.